What is Pleural Plaque?
肺がんの治療を行う、胸部外科医や呼吸器内科医の多くは、肺がんの治療でいかに患者さんを救うかが優先課題です。当然の事なのですが、生命に関与しない胸膜の所見には余り注意を払いません。また放射線医含め多くの医師が、小さい胸膜プラークを見る訓練を医学教育や卒後教育で十分でないのが、残念ですが実情なのです。
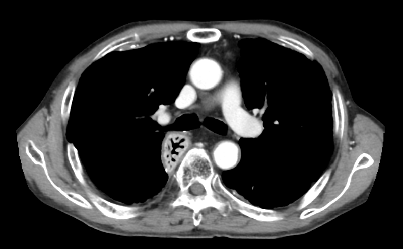
700床を超す著明な国立A病院で肺がんの治療を十分に受けていた建設大工さんの胸部CT写真が写真1です。明らかな胸膜プラークを認めるのですが、その病院の呼吸器内科医も放射線科医も全く認識していませんでした。そんな中、ご家族がアスベスト(石綿)による可能性を疑い、病院の事務でCD-ROMを借用し、セカンド・オピニオンとして、アスベスト関連疾患の専門医がいる「ひらの亀戸ひまわり診療所」に読影依頼をしました。
ひまわり診療所の医師である名取が診療情報提供書で胸膜プラークをご指摘させて頂き、この患者さんは数か月で労災認定されました。肺がんの治療に優れた病院が、石綿やアスベストとの関連を余り知らない典型例の方です。
写真1 国立A病院 胸膜プラーク

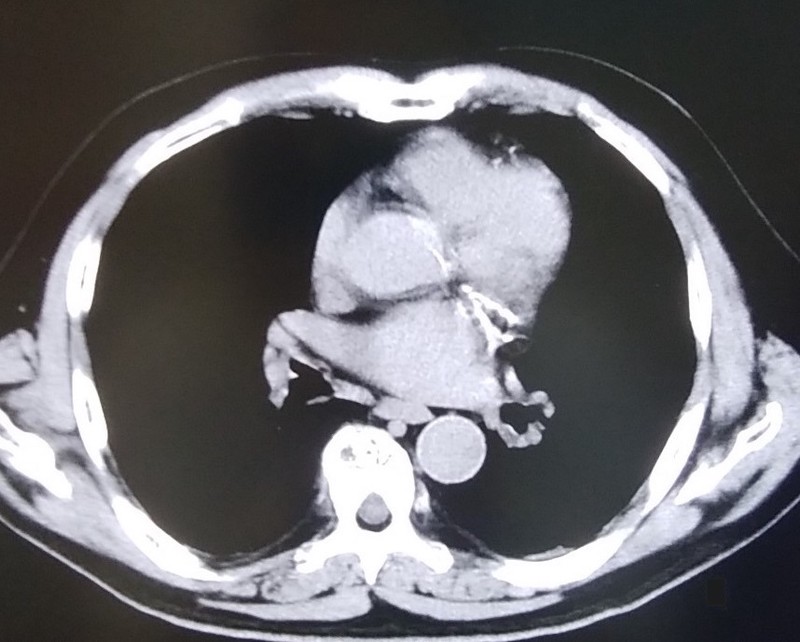
Bさんは、建設左官職で、アスベストはビル等で30年吸入しています。肺がんで死亡後、ご家族から相談がありました。わずかにCTで胸膜プラークを認めたので、名取が医師意見書を記載して遺族補償を労災保険に申請しました。数か月後に業務上として認定され、遺族補償をお受けになりました。
写真2 Bさん


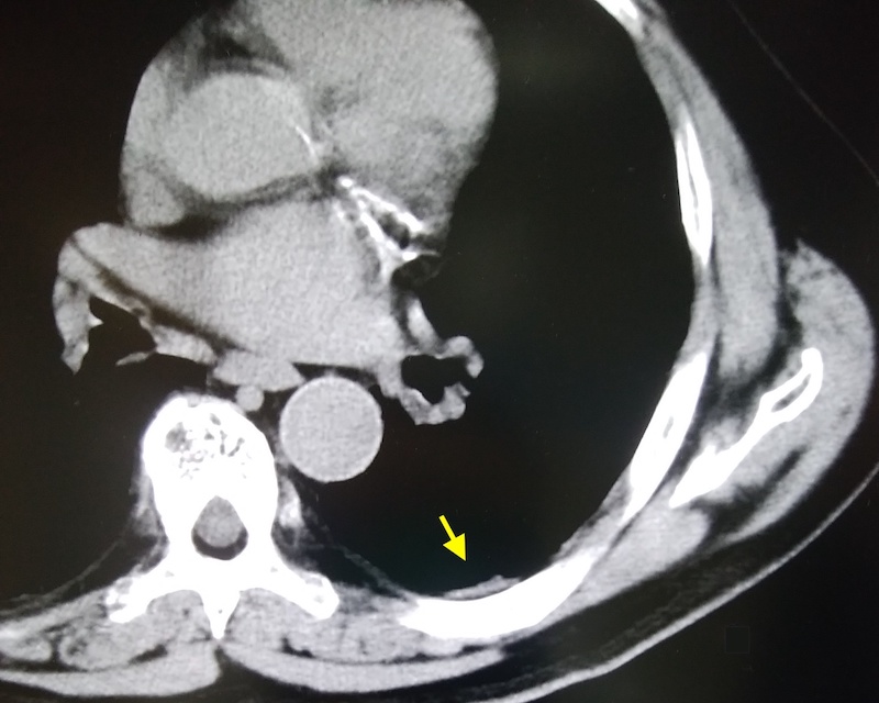
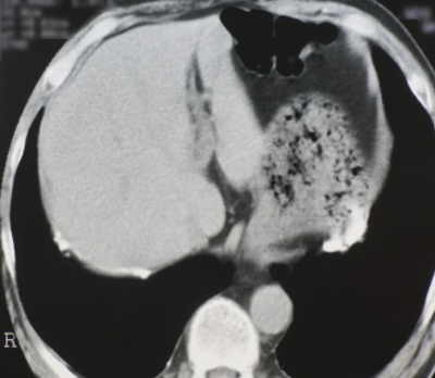
胸部エックス線で胸膜プラークは見えない。胸部CT写真を撮影したところ、見えにくい横隔膜に石灰化した胸膜プラークを見つけたボイラー工の事例。
胸膜プラークに明るい医師でないと、CTの撮影をせずに終わる事例は多いのです。
写真3 ボイラー工66歳初診時エックス線所見(ー)

写真4 66歳のCT所見(あり)

(本項目の文章は2018年11月段階の内容です。2018年12月以降の変化は反映していない場合がある点ご了承ください。)