What is Asbestos Lung Cancer?
肺がんの原因の一つにアスベスト(石綿)ばく露(吸入)があります。アスベストばく露が原因だからといって、喫煙やその他の要因で発症する原発性肺がんと治療方法に違いはなく、原因の違いによって、症状や治る・治りにくいといった差はありません(石綿肺が管理4等進行している場合は治療ができにくい場合があります)。
アスベストにばく露したことが一定程度主要な原因で発症した、原発性肺がんのことを指し、「アスベスト肺がん、石綿肺がん」と呼びます。
アスベストばく露のほか、喫煙やその他の原因が複合的に重なって原発性肺がんを発症した場合であっても、「アスベスト(石綿)肺がん」とされています。
アスベスト(石綿)肺がんで治療中の方が、労災申請や認定・補償を受けるためには、アスベスト(石綿)関連疾患に詳しい医師に協力してもらい、労災に関する意見書を書いていただくなど、患者さん側からのアプローチが時に必要です。私達アスベストセンターは、十数年にわたり、アスベスト関連疾患に詳しい医師と主治医の間に入り、医師同士が連携できるようお手伝いをしてまいりました。豊富な経験がありますので、是非ご相談ください。

原発性肺がんで治療中の方が、労災保険・救済給付(石綿健康被害救済制度)制度へ申請し、認定・補償を受けるためには、「アスベスト(石綿)に関連する医学的所見(石綿肺・胸膜肥厚斑(胸膜プラーク)・石綿小体・石綿繊維等)」について、医師に診断してもらう必要がある場合があります。
高濃度石綿ばく露では、5年間のばく露職歴のみでも労災認定されています。
仕事でアスベスト作業に関わり、原発性肺がんを発症した場合は、労災保険(労働者災害補償保険)で補償される場合がありますが、労災保険では、アスベストによる肺がんとして認定するための基準を設けています。
中でも、胸膜肥厚斑(胸膜プラーク)は、アスベストばく露の良い指標で、医学的な認定要件の一つです。
2006年2月から2010年11月の期間、労災保険で給付決定された肺がん事案2,475件のうち、胸膜プラーク所見+石綿ばく露作業従事期間10年以上の事案は2060件で、全体の83.2%を占めています。
肺がんの原因が仕事でのアスベストばく露だったと考えた時、胸膜プラーク所見をしっかり診断確認することが、労災申請などの補償手続きを行う上で、とても大切です。
図3 石綿肺がん 労災事案の胸膜プラークによる認定率
肺がんの治療の名医や肺がんの臨床経験の豊富な医師が、必ずしもアスベスト(石綿)関連の病気や補償制度について詳しいとは限りません。
というのは、肺がんを治すための治療を行う胸部外科医や呼吸器内科医の多くは、肺がんの治療で患者さんの生命を救うのが優先課題です。
胸膜肥厚斑(胸膜プラーク)は、アスベスト(石綿)肺がんかどうかを医学的に見分ける大切な手がかりですが、生命に直接影響を及ぼすわけではないため、胸膜肥厚斑(胸膜プラーク)の有無には、注意を払わない場合があります。
労災保険で補償された、肺がんの実例
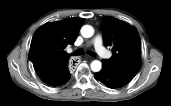
700床を超す著明な国立A病院で、肺がんの治療を受けていた建設大工Bさんの胸部CT写真が、写真1です。後から見れば、明らかな胸膜肥厚斑(胸膜プラーク)を認めますが、A病院の呼吸器内科医も放射線科医も認識していませんでした。
Bさんのご家族が、建設業であることからアスベストによる肺がんの可能性を疑い、治療している病院から胸部CTを借用し、アスベスト(石綿)関連疾患の専門医がいる「ひらの亀戸ひまわり診療所」を受診しました。
ひまわり診療所の医師(アスベストセンター所長 名取)がCTを読影(確認)後、A病院の主治医あてに診療情報提供書で「胸膜プラークを指摘」させて頂き、Bさんは労災申請後、数か月で認定されました。肺がんを治すための治療には大変優れている病院であっても、肺がんとアスベスト(石綿)との関連については、余り知らないという典型例です。
写真1 国立A病院のCT画像
多くの医師が、小さい胸膜プラークを見る訓練を医学教育や卒後教育で十分出来ていないのが、残念ですが今の実情です。アスベスト(石綿)肺がんについて、医療関係者の一部しか気づいていない現状もあります。
アスベスト(石綿)関連疾患に詳しい医師に胸部CTをまず見てもらいましょう。
仕事でアスベスト作業に関わり、原発性肺がんを発症した場合は、労災保険(労働者災害補償保険)で補償される場合があります。
労災保険は、医療費が無料になる以外に、休業補償、18歳以下の子供さんへの就学援助、進行し亡くなった場合の遺族補償年金制度等、総合的な社会補償制度として優れていますので、是非活用してください。
雇用されていた企業から補償を受けるための交渉や裁判等をご希望される方については、アスベストセンター運営委員や関連する弁護士のご紹介も行っています。
ご希望の方は、メール相談を是非ご利用下さい(相談料無料、プライバシー守秘)。
(本項目の文章は2019年3月段階の内容です。2019年4月以降の変化は反映していない場合がある点ご了承ください。)