石綿関連疾患
職業ばく露・家族ばく露・建物ばく露・環境ばく露について
ーリスクと今後の予防ー

Asbestos Related Diseases

(2017年11月 第8回JIMIG教育講演)

名取 雄司 1) 2) 3)、春田明朗 2)、平野敏夫 1)
所属:ひらの亀戸ひまわり診療所 1)
横須賀中央診療所 2)
中皮腫・じん肺・アスベストセンター所長 3)

【背景】

 石綿は石綿製造業から社会の多様な産業、建築物等に石綿含有製品としてストックされ、未来に廃棄されるまで過去・現在・未来の長期ばく露する点で他の有害物と比較して特異的な特徴がある。職業性ばく露を中心とし、家族ばく露・建物ばく露・環境ばく露の多様なばく露形態があり、石綿濃度とリスクが健康障害と予防制度の問題となる。

【方法】

Ⅰ 石綿関連疾患の健康被害

 1985年から横須賀の2造船所の労働者と家族の石綿関連疾患を診療して32年間、1996年から東京と東日本の建設労働者の石綿関連疾患を21年間診療し、様々な患者さんを診療し、家族ばく露、建物ばく露、尼崎の工場周囲ばく露例等を経験したので報告する。

II 石綿関連疾患のリスク

 1989年以降自治体の飛散事故委員会、厚労省・国交省等の委員として、石綿の濃度と石綿関連疾患発症リスク等の検討も行ってきたので報告する。

【結果】

Ⅰ 石綿関連疾患の健康被害

1. 職業ばく露 造船所

 

(1)疫学調査

 横須賀地区の造船所の石綿関連疾患の健康被害を示したものに、米海軍横須賀基地艦船修理廠のボイラー工・断熱工に実施された調査論文がある1)。1947年にボイラー工・断熱工として在籍していた190名を1995年時点で、死亡診断書97人、胸部X線写真71人、病理所見が得られている72人を、それぞれのレベルで研究した論文である2)3)。結果を図1に示した。

【図1】

(2)造船所の石綿濃度

 造船所の石綿による健康被害の理解には過去の石綿濃度の理解が欠かせない。その点を意識し研究デザインしたと想定される英国Harries PG等は、1970年代に1940年代の英国海軍艦船の作業を再現し船舶内石綿濃度を測定した論文は基本的論文である4)。艦船の船底近くで吹付け石綿除去作業が行なわれた第7甲板の石綿濃度は311本/ml、第7甲板から1階上の第6甲板ハッチ109本/ml、第5甲板のハッチ30本/ml、シャワーの通路25本/mlと粉塵飛散箇所から空間全体が約10分の1の濃度となる結果だった。図2にわかりやすく図示したが、間接喫煙と同様のことがアスベストで既に知られていたということになる。

【図2】

(3)造船労働者の胸部XP/CT写真の胸膜プラーク所見

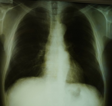
 私たちは1989年から2016年時まで退職した造船労働者の健康管理を27年間行った5)。退職後長年観察した例は稀で胸膜プラークの変化に着目した。15年間以上毎年胸部X線写真を撮影、胸部CT写真を10年間以上で3回以上撮影した「石綿肺管理2以上+続発性気管支炎」で労災認定された23名を対象とした(初回管理2以上17名、中間時管理2以上6名)。医師3名が独立して初回、観察中間時、最新回の胸部XPと胸部CT写真を読影、医師間の所見の異なる写真は再意見を求め再意見の各自読影結果を最終結果とした。対象は全員男性、現在・死亡時平均年齢は87歳(80~96歳)、初診時平均年齢は64歳(58~72歳)従事年数は平均35.3(17~41)年、職種は溶接7名、機関6名、ボイラー4名他6名で、非喫煙3名・前喫煙20名・現喫煙0名で平均喫煙係数611(220~1520)だった。2016年現在生存14名、死亡9名(平均年齢86.1<80~90>歳)、胸部X線写真観察期間は平均21.5(15~26)年で医師の読影所見は22名で一致した5)

     
  1. 初回~最新回XPとCT共に胸膜プラーク有9名(39.1%)平均年齢65.1(62~72)歳【写真1】
  2.  
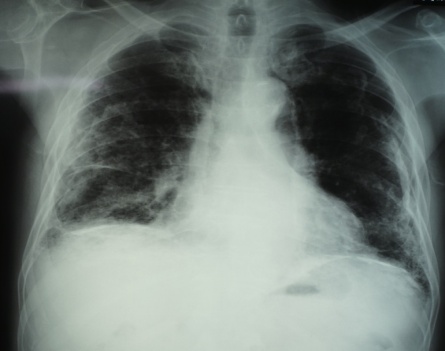
  3. 初回XP胸膜プラーク無・CT有7名(30.4%)平均年齢73.4(66~80)歳【写真2】
  4.  
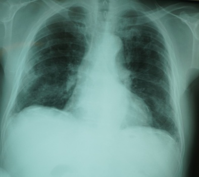
  5. 初回XP/CT胸膜プラーク無・最新回XP無・CT有は3名で【写真3】胸膜プラークの確認時年齢は69・77・80歳、80歳時点の胸部CTはプラーク検出に有意義だった。
  6.  
  7. 初回~最新回CTで胸膜プラーク無4名中3名永眠(80~84歳)し85歳1名が生存中。
  8.  
  9. 23名中肺癌が3名に発症し発症時年齢79、81、88才で、円形無気肺を 2名に認めた5)。

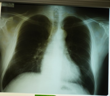
【写真1】胸膜プラークの胸部X線写真 典型的な経過5)

【写真2】初回XP胸膜プラーク(-)初回CT胸膜プラーク(+)

【写真3】初回CT胸膜プラーク(-)最新回CT(+)

 胸部X線写真で胸膜プラークのある場合、胸膜プラークは経年的に厚く大きくなり徐々に石灰化した【写真1】。胸膜プラークはCTで66~80歳で初めて認められ、70台,80才の胸部CT写真撮影の必要性が認められた【写真3】。高濃度石綿ばく露をうけた23名中4名に80台でも胸部CTで胸膜プラークのない群が確認された。肺がんによる死亡が3名に認められ、胸膜プラーク有は1名で2名はXP・CT共に最後までプラークなしだった。職業性石綿ばく露を受けた集団は、退職から永眠までの期間の健診体制を必要とし、胸部X線CT写真を併用し観察する意義が再確認された5)

2. 職業ばく露 建設業

 1995年から2017年まで建設国保組合と連携して1万~4万人の胸部レントゲン写真を読影してきた。2000年段階での読影結果を示した【図3】【図4】。

【図3】

【図4】

 建築の労災事案の経過についての研究は、1998年から2012年11月までの14年間を、石綿肺管理2以上続発性気管支炎の合併症で療養した25名で観察した7)。結果は、

 (1)観察期間の中央値は10(最短4~最長14)年で、14年間に死亡した者15名、現在当院通院中が10名であった。死亡した15名の死亡診断書の死因は、原発性肺がん6名、慢性呼吸不全6名(在宅酸素療法から呼吸不全死亡)、続発性気管支炎+肺炎が2名、間質性肺炎(UIP疑い)1名であった。胸部CT写真の読影では24名に、胸膜プラーク(医師3名一致20名、2名一致4名)が認められた(35.8%)。胸部CTの点状陰影(DOT’S陰影)密度増加は、4名(医師3名一致は1名のみで、医師2名一致が2名、医師1名指摘が1名)と判断が分かれた。【写真4】

image14

 2016年に実施した、建設業の60歳のHRCTによる石綿関連疾患の検討では、63名中27名に(胸膜プラーク25名、石綿肺0/1と胸膜プラーク重複例2名)に認め検出率40.3%であった8)。HRCTによる肺疾患の異常としては、63名中陳旧性瘢痕60名、肺気腫11名、肺のう胞12名,胸膜ゆ着7名、等であった。肺癌疑い2名、中皮腫疑い1名は現在経過観察中である。

3. 職業ばく露 教員

 教員の検討は3名に行い、大学・中学・小学校各1名だった。大学教員は調査でゴム産業調査の中小企業でのタルク吸入が判明し国家公務員の業務上認定がされた。小学校教員は1960年~1970年代の初期勤務校が児童増加で増築が持続し吹付け石綿はなかったが石綿則レベル3の石綿含有建材のばく露で地方公務員災害基金で業務上となった。中学校教員は、吹付け石綿があり改築の中学校であったが業務外とされた。

4. 家族ばく露

 1980年代、60台の女性の胸膜中皮腫(二相型)。石綿関連の職歴は一く、生活歴で石綿製造工場周囲居住はなく、家族歴で夫が造船所溶接工で新婚以来毎日夫の作業着を洗濯していた。剖検でプラークなし、家族ばく露と考えられる胸膜中皮腫であった10)

5. 建物ばく露

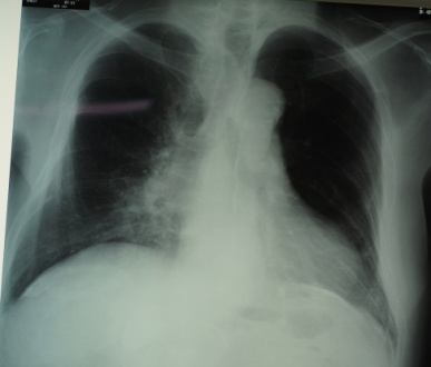
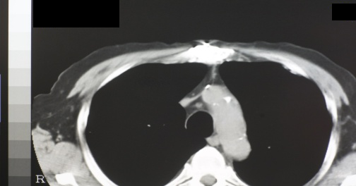
 70歳男性、A医大で悪性胸膜中皮腫上皮型T1a.N0と診断された。職業歴は1949-1950年農業、1950-1966年製紙用金網製造会社織工、1966-1969年喫茶店経営。1969年-2003年私鉄駅高架下文具店店長。2階倉庫の吹き付け材には、クロシドライトが25%含。解剖肺内アスベスト繊維濃度19.0×106本/乾燥1g解剖のアスベスト繊維でクロシドライト11本、クリソタイル・アモサイト1本合計13本観察した11)【図5】【写真5】。

  • 2階倉庫の吹付け材にはクロシドライトが25%
  • 文具店2階の静穏時の濃度は1.13~4.2f/L
  • 1階に荷物搬入時の濃度は14.0f/L
  • 2階に荷物搬入時と清掃時の濃度は136.5f/L
  • 文具店1階は0.34~1.13f/L
  • 文具店外の大気中の濃度は定量下限値

厚生労働省:中皮腫や肺がんで業務上疾患として労働者災害補償保険(労災保険)または石綿救済法(時効労災)で認定された人を毎年12月公表。「吹付け石綿のある部屋・建物・倉庫等での作業(建設業以外)」による石綿関連疾患は、2013(平成25年度)年までの集計で累積105名12)。105名の内訳は、中皮腫71名(労災64名、時効労災7名)、肺がん26名、石綿肺3名、良性石綿胸水2名、びまん性胸膜肥厚3名。職種ではビル管理、食品、薬品、ボーリング、デパート、大学等多様な職種となっている。

6. 改築時の石綿ばく露

 改築時の石綿ばく露とそれに伴うリスクについては、再現実験が行われ十分な立証が行われてきた。その典型例が文京区の保育園で改築時の吹付け石綿ばく露事故である13)。保育箇所から数メートルの場所で吹付け石綿除去が行われた、あってはならない事故だが、それ以前にはこうしたことが日常的にありえたと推認される【写真6、7】

【写真6】13)

【写真7】13)

 石綿の濃度とリスクの計算、上下階や他の部屋への石綿の飛散の基本が学べる報告書である。佐渡市の報告書14)は改築工事の背景に触れていて、是非両書とも一読して頂きたい。

7. 工場周囲ばく露

 対象者は過去に尼崎市の石綿工場周辺での居住歴のある胸膜中皮腫患者(女5名、男1名)で平均年齢は56.8才(52~66才)である【写真8】が、工場周辺の居住歴は平均18.8年、居住時期は1950年代6名、1960年代6名、19700年代2名であった。6例の肺内石綿小体数は、平均410±225本(112~677本)/乾燥肺1gで、職業性曝露の基準1000本/乾燥肺1gより低く、一般大気群の35本/乾燥肺1gより高かった。2例で実施した電子顕微鏡による測定ではクロシドライト繊維が検出された。15)

【写真8】

8. 趣味のばく露

 68歳男性。既往歴特になし。過去喫煙15本×38年(20~58歳)。職歴は菓子・床屋、銀員で特になし。胸部X線写真では両側中肺野と横隔膜に胸膜プラークがあり胸部CT写真も同様。TBLB細気管支周囲の線維化とBALで3石綿小体/1プレパラ。SEMでクリソタイル繊維を検出した。趣味は日曜大工42歳~68歳の26年間週末2日×6時間電動丸鋸で石綿建材加工した(自分知人も家屋増築1部屋は行う)。16)

9. 中皮腫の緩和ケア17)

 中皮腫セカンド・オピニオン外来で相談を実施した方2005~2010年の90名を対象とした18)。全時期受診された方21名、診断・初回治療期の相談11名 (+21名)で治療選択とパニック対応が主な相談だった。第2治療期(初回治療進行時期~第2治療進行時期)22名(+21名)で治療の選択とWHOの4つのペインに関する相談が多かった【図6】。症状進行期(第2治療の進行~酸素導入)6名(+21名)で未解決の課題の相談が主だった。グリーフケア期に遺族のみで受診された方が30名だった18)。全時期に関わった21家族中で入眠導入剤等の内服は患者21名で診断時から9名、第二治療期が6名、進行期が4名、終末期4名、内服なし1名で抗うつ剤内服併用6名だった。家族21名は診断時から内服8名、第二治療期が4名、進行期1名、なし5名不明3名だった。患者もご家族も心理的PAINやSPIRITUAL PAINのあることがわかった18)【図7】。終末(臨死)期の生活の質は(21名)、酸素使用から永眠まで平均6か(1~9)月、麻薬使用から永眠まで平均4.8(0~12)月、最後の外出~永眠平均30.6(4~60)日、最後の食事から永眠平均3(1~5)日、最後の会話から永眠まで平均2(1~4)日だった。診断から永眠期間は平均19.8(2~60)月だった18)*2か月(手術関連死)*癌性心外膜炎合併 体動時コントロール困難

【図6】

【図7】

II 石綿ばく露の健康リスク

1. リスクとは

 リスクは「好ましくないことが起こる確率・程度」という理解が一般的である。世界保健機関の国際がん研究機関(IARC)は、1972年より人に対する発がんのリスク評価書「IARCモノグラフ」を発行、化学物質や職業・環境要因が人で発がん性を示す確かさを基準に5段階に分類した。1983年米国の国立研究評議会(National Research Council)19)が科学と政策の間をつなぐリスク評価の手順書を発表、リスク評価の4プロセスとして有害性の同定、用量反応評価、曝露評価、リスクの判定を勧告し概念が知られるようになった。健康リスク評価は「人の健康に好ましくない事象が起こる確率」で、化学物質の有害性の程度から耐容できると推定される環境中濃度を設定する。リスクの目標は職業で生涯リスク千人~1万人に1名以下、環境で10万人~百万人に1名以下と100倍(100分の1)程度異なる。

 日本産業衛生学会は、有害物質の生涯リスクに基づく管理で「生涯で千人もしくは1万人に1名の死亡(発がん)以下とする目標」でリスク評価を考えている。同学会は2001年、石綿についてクリソタイル単独ばく露の4論文、混合石綿ばく露10論文を元にリスクアセスメントを行なった20)。推定過剰死亡数はクリソタイルで肺ガン3.0人+中皮腫3.6人で合計6.5人/千人、クリソタイル以外で肺ガン12.1人+中皮腫14.7人で合計26.8人/千人 。クリソタイルとそれ以外の石綿繊維のリスクを約4倍とし許容濃度基準を勧告した20)

 環境の有害物質の生涯リスクに基づく管理として、「環境中の生涯の死亡者を10万人に1名以下とする(当面の)目標」として、1997年のベンゼン等をはじめ濃度を決めた場合がある21)。「環境中の生涯の死亡者を100万人に1名以下とする」意見がでる場合もあり、石綿の安全と安心の規準は社会の中で決めていくものと考えられている。

 石綿は、製造だけでなく主に石綿含有建材が建物等にストックされており、廃棄されるまで過去・現在・未来の長期ばく露が特異的である。医療者はリスクの知識とリスクコミュニケ-ションの知識が欠かせないが、臨床医にその学習の機会が少なすぎると思われる。

2. 石綿繊維の特徴

 石綿繊維は直径0.02μm以上で長さは様々で数百μm超の無味無臭であるため、ひとに異常のない大気と感じられやすい点が吸入を防げない一因である。石綿線維は「石」の「綿」であり、【図8】に示されるように一度飛散すると10時間は飛散し続け、地面に落下した後も図8の右端の「小さな山」のように再飛散する。故に二重養生、HEPAフィルター付き負圧換気、同真空掃除機、使い捨て保護具の作業が求められる〔写真8〕。

【図8】13)

【写真8】

3. 石綿のリスクの考え方の歴史的変遷

 石綿の濃度規制は、1938年米国で石綿肺の研究に基づき始まった。ノース・カロライナの3か所の石綿工場の石綿濃度と胸部X線の石綿肺の研究22)によると、石綿肺は0~2.4Mppcfの39名で0名、2.5~4.9Mppcfの69名で3名(4.3%)、5.0~9.9Mppcfの126名で19名(15.1%)、10.0Mppcf以上の213名で51名(43.3%)だった。その結果石綿の規制値に5.0Mppcfが採用された22)。1960年代石綿繊維の測定法が変化しメンブランフィルター法が採用され石綿濃度を繊維/mlと表現し始め、累積ばく露量の考え(石綿濃度・従事年数=繊維/ml・年数)が確立した23)。1970年代には石綿は悪性疾患のリスクが問題とされ、1986年様々な疫学調査での中皮腫・肺癌死亡を説明する米国OSHAモデルの中皮腫と肺がんの数式が提唱24)され、一部に異論はあっても石綿のリスク計算に現在も使用されている。石綿被害の第1の波は1906~20年代の石綿鉱山・製造業、第2の波は1940~1950年代の造船所等で、1990年前後建築物による石綿関連疾患が多発「第3の波」とされた25)。1997年西ドイツで過去の多様な産業の石綿濃度の結果をまとめた1997BK-REPORTが報告され、2007年2007BK-REPORT26)と改訂された。石綿濃度と肺がんのリスクは1997年石綿関連疾患の規準であるヘルシンキ・クライテリア27)の「25繊維・年数/mlで石綿肺がん2倍のリスク」とされ2014年のヘルシンキ・クライテリア改訂28)も肺がんに関する1997年報告の訂正は行なわれていません。

4.石綿の種類とリスクに関する論争の経緯

 石綿繊維の種類の差で、中皮腫死亡が青石綿(クロシドライト)や茶石綿(アモサイト)で多く白石綿(クリソタイル)に少ないとする疫学報告も確かに多く見られる。一方青石綿と茶石綿の疫学報告の石綿濃度測定は精度等が不十分との批判も多い。日本の産業衛生学会20)とオランダ健康審議会29)は、クリソタイル単独ばく露の論文とクリソタイルと角閃石系の混合ばく露の疫学論文しかリスク評価には採用していない。2000年Hodgson JT, Darntonは、青:茶:白石綿の中皮腫のリスクを500:100:1と報告したが30)、2010年「クリソタイルのリスクは2000年論文より10倍高い値」と訂正した31)。クリソタイルは鉱山では中皮腫が少なく、その鉱山のクリソタイルを使用する紡績工場で中皮腫が増加する結果を示しており中皮腫の「Textile Mystery」32)と言われている。白石綿の開棉等の過程で長さとサイズが変化することが一因と現在も論争が続いている。メタアナリシス論文は、石綿繊維の測定精度、職歴聴取や診断精度、追跡期間等の規準をどう定めるかで精度が変化する点が最も課題である30)33)34)。この間、日本で石綿のリスク等に関する質問に答えた報告書は、下記を参照35)してほしい。

5. 日本の中皮腫の将来予測研究

 日本の胸膜中皮腫の将来予測の研究としては、村山等が2002年に発表した論文【図9】が知られている。36)

【図9】36)

6. 職業等の石綿ばく露把握の研究

 産業別・年代別に石綿濃度を最も体系的にまとめているのは、ドイツの報告である26)。1997BK-REPORTは1999年のヘルシンキ基準に影響を与え、日本の厚生労働省の2006年「石綿ばく露歴把握のための手引」37)も、産業別の石綿濃度を考慮して作成されている【図11】石綿紡績業の年代別濃度は2007BK-REPORT【図12】に示されている。

 2003年までの建築物石綿含有建材の世界の石綿濃度をほぼ網羅しまとめているのが日本の厚生労働省の2006年「石綿ばく露歴把握のための手引」33)と、文京区報告書である13)

 2007BK-REPORTのドイツの建設業の石綿濃度を【図13】に示した。ドイツの同報告は数名で日本語訳をしているので、希望される方は筆者にメールを頂ければ提供は可能である。

  1. 職業ばく露 石綿含有吹付け材・建材の切断加工時の濃度 石綿工場や石綿鉱山が過去に高濃度ばく露の典型作業とされ、数十f/mL以上の濃度であったとされる。建築や造船所は中等度の濃度の典型作業とされ、数f/mL前後の濃度が多かったとされる33)
  2. 家族ばく露 吹付け石綿除去作業で石綿濃度が8.2f/mLの場合で、洗濯作業時の濃度は0.4±0.2f/mL(最大値1.2f/mL)33) 
  3. 建築物ばく露 吹付け石綿のある部屋の濃度 大気とほぼ同程度の場合、大気濃度より少し高い0.数f/L程度、1f/L~数十f/L(0.001~0.0数f/mL)の結果である場合が多い33)。   

    【図11】33)

    【図12】26)

    【図13】26)

7. 石綿のリスク評価研究

  

前項で記載した各場所での石綿濃度と、1980年代の時点の複数の疫学論文の中皮腫や肺がんの死亡数を説明できるよう、「石綿ばく濃度」、「石綿ばく露した年数」、「潜伏期(年)」、「各産業ごとの中皮腫(KM)と肺がん(KL)の係数」等から確立した中皮腫と石綿肺がんのモデル式が米国産業安全局から提案された24)。その後の各国の疫学論文等で【図14】式について批判が出ないわけではないが、式を否定する新しい提案もなされてはいない。現在もリスクについて基本的に、以下の点が共通的に理解されていると考えられる。中皮腫では「ばく露から10年の潜伏期の存在」、「石綿濃度」×「初ばく露からの年数の3乗」の関係。肺がんは「石綿濃度」×「石綿ばく露期間」の積等の考え方である。24)

【図14】24)

 リスクを求める論文の基礎的な評価として、石綿濃度の測定の正確さ、職歴と職種聴取の正確さ、石綿ばく露から観察までの期間の十分な長さ、死亡診断書の正確さ等で、採用できる質の論文かどうかの規準の設定が問題となる。基準の設定により、A論文を採用したりB論文を採用しなかったりする。更に、リスクを求める際には、ばく露年数の設定、初ばく露年の設定、職業ばく露か生涯ばく露か(8時間か24時間か、240日か365日か等)喫煙の影響の判断の条件が論文毎に異なる20) 38) 39) 40)

 【図15】【図16】は、日本産業衛生学会20)、世界保健機構38)、米国環境庁39)、児童対象のHUGHES論文40)の結果をまとめた。ばく露量がA f/Lの際の人口当たりの肺がんと中皮腫のリスクを示している。一定濃度の石綿ばく露がある年数生じた集団のリスクを考える場合に、こうした論文を参考にしてリスクを推定するのが一般的である。

【図15】

【図16】

8. 日本の石綿ばく露の現状

 重層下請け構造の日本の建築業の中で、建設業法で定められた「大工」「左官」「塗装」「鳶」「解体」と異なり、主に「塗装業」「解体業」等を行う職種の方が石綿則の2日の筆記講習を受けた後石綿除去作業に従事しているのが日本の現実である。ゆえに石綿飛散の違反工事をしても、「除去作業停止」などの法的制裁や労働安全衛生法に基づく罰金や刑罰が実施されることはまずない。

 石綿の分析業も一人で始めることが可能であり、法的な制度化がされていない。事前調査も国土交通省告示により制度化が開始されているが、建築基準法・石綿則・大気汚染防止法の事前調査の法的定めは2018年1月現在ではない。石綿が十分除去されたのか第3者が確認する終了検査制度(終了検査を行うアナリストという専門職制度)は日本にはない。建設業の主が元請(ゼネコン)とすると末端に位置する解体業、更にその一部の除去作業者が零細な分析業に発注するのが一般的なのが日本の建設業である。

 経済コスト優位で動く中、第三者による検査や濃度管理・終了検査の管理体制、悪意の業者の排除と優良業者保護のシステムを行政主導で法的に行う必要がある。それが少ない日本では、作業者への石綿ばく露、建築物内での利用者への石綿ばく露、改築周囲の建物利用者への石綿ばく露が日常的に継続して続いている。

 環境省の大気汚染防止法のヒアリングで、分析業の亀元氏が答えた利益相反関係の構造【図17】は参考となる41)

【図17】41)

 煙突用石綿断熱材からの大気への石綿飛散は現在も続いているが、環境省は規制を行なっていない42) 43)

9. 石綿飛散対策の日英比較研究

 日本は、建築物の石綿対策として、2006年4月1日石綿作業主任者技能講習が新設され、2013年「建築物石綿含有建材調査者」制度が、英国の「Asbestos Surveyer」制度も参考としながら開始された。2006年英国では、1992年に成立(1998年と2002年に改正)した「作業場のアスベスト管理(修正)規則」、1983年に成立した「アスベストライセンス規則」、1992年に成立した「アスベスト禁止規則(1999年改正)」の3規則が統合「アスベスト管理規則」となった。アスベスト管理規則は2012年に改正され、対策が更に強化された。以上の経過は杉本論文44)に詳しい。

 英国の石綿対策は、規則による規制、監督制度と罰則、と共に多様な専門職の資格による管理がなされています(【表18】参照)。日本には英国と比較して、「石綿除去業」の免許制度がなく、除去の完了検査を担当し認定する「アナリスト」の資格がありません。除去業の免許を認可、3年等で更新を取り消す「石綿免許主任検査官」や「石綿ライセンスユニット」等の行政の監視も弱いように思われる。日本では既存石綿対策の第1段階は2005年以降10数年始まってきた。今後既存石綿対策の第2段階の総合的な対策へ進む時期に差し掛かります。英国の主要資格の書籍「アナリストガイド」、「除去業者ガイド」、「アスベスト管理規則と公認実施準則」、「免許の評価、修正、取消し手引き」等は、「石綿問題総合対策研究会」のHPに2017年冬までに掲載予定(Asbestos_Research_Group/index.html)とされている45)

【表18】

【結論】

 過去の石綿ばく露による石綿関連疾患の早期発見と治療、現在の石綿ばく露と未来のばく露防止が必要である。



【参考文献】

  1. Kurumatani,Y.Natori,R.Mizutani et.al ,A Historical Cohort Mortality Study of Workers Exposed to Asbestos in a Refitting Shipyard,Ind.Health37:9-17,1997
  2. 名取雄司、春田明朗、安元宗弘:A造船所における石綿関連疾患―当院患者の労災認定を主に- 産衛誌VOL 41:644,1999
  3. 春田明郎、名取雄司、安元宗弘:A造船所における胸部レントゲン所見に関する検討 産衛誌VOL 41:643,1999
  4. Harries PG, Asbestos dust concentration in ship repairing: a practical approach to improving asbestos hygiene in naval dockyards. Ann. Occup. Hyg 1971; 14,241-254
  5. 名取雄司、春田明郎、畠山雅行 造船労働者の退職後の胸膜プラークのX線・CT写真の経年変化の意義の検討、産業衛生誌、臨時増刊、2017年5月、p329、
  6. 名取雄司、平野敏夫、他、建設労働者の胸部レントゲン写真に関する検討:産衛誌VOL 43:385,2001、
  7. 名取雄司、平野敏夫 石綿肺 (建設業、管理2以上) 続発性気管支炎患者の臨床経過 第1報死因、産業衛生、臨時増刊、2013年5月、p457、
  8. 名取雄司、毛利一平、平野敏夫、畠山雅行、建設労働者の60才時点での高分解能(HRCT)健診による石綿関連疾患の検討、産業衛生雑誌、臨時増刊、2016年5月、p241
  9. 名取雄司、石川雄一、石渡仁深、他 教員の悪性中皮腫-3例の検討-産衛誌、2007:49、368
  10. 名取雄司、商業性石綿ばく露の妻に発症した悪性胸膜中皮腫の1例、肺癌、p351、1986
  11. 名取雄司、外山尚紀、片岡明彦、他:吹き付けアスベストのある店舗での勤務が原因で発症したと考えられる悪性胸膜中皮腫の1例 産衛誌16:550,2004、
  12. 建築物石綿含有建材調査者講習テキスト第3版、p1-38、2016年日本環境衛生センター
  13. 文京区立さしがや保育園アスベストばく露による健康対策等検討委員会、同報告書、文京区福祉部保育課、1-186、平成15年12月(2003)
  14. 佐渡市立両津小学校アスベスト健康対策等専門委員会・専門部会、同委員会報告書、1-115、佐渡、2008.10、
  15. 名取雄司、石渡仁深、酒井潔他 :工場周囲で発症した中皮腫における肺内石綿小体数の検討 第1報 公衛誌Vol153 No10、1008、2006
  16. 名取雄司他 日曜大工で発症した石綿肺の1例 (横須賀共済病院) 日胸疾患会誌 26(6)689 1988. 6
  17. 名取雄司、春田明朗 悪性胸膜中皮腫のターミナルケア、死の臨床26(2) 178、2003
  18. 名取雄司 中皮腫の緩和ケア:90名のセカンドオピニオン、病期別受診理由ひまわり受診者例 2011年中皮腫・石綿研究会
  19. National Research Council、Risk Assessment in the Federal Government、 Managing the Process Working Papers.1983
  20. 日本産業衛生学会許容濃度等に関する委員会 (2000). 発がん物質の過剰発がん生涯リスクレベルに対応する評価暫定値(2000)の提案理由石綿(アスベスト) [CAS No. 1332-21-4]. 産業衛生学雑誌, 42, 177-186.
  21. ベンゼン等による大気の汚染に係る環境基準について 平成09年02月04日 環告4改正 平成13年04月20日 環告30
  22. Dreessen.WC.et al. A study of asbestosis in the asbestos textile industry. 1938.241. U.S.Public Health Service. Washington DC
  23. Committee on Hygiene Society of the British Occupational Hygiene Society, 1968.Hygiene standards for chrysotile asbestos dust. Ann Occup Hyg 11:47-69
  24. アメリカ合衆国労働省労働安全衛生局(編) (1990). アスベストの人体への影響, pp1-180, 中央洋書出版部.
  25. Landrigan PJ. Ann N Y Acad Sci. 1991 ;643:xv-xvi.
  26. HVBG (Hauptverband der gewerblichen Berufsgenossenschaften) (2007). BK-Report 1/2007 Faserjahre, pp1-255.ドイツ職業保険組合連盟、BK職業病レポート 1/2007繊維年 
  27. Tossavainen A. (1997). Asbestos, asbestosis, and cancer: the Helsinki criteria for diagnosis and attribution. Scand. J. Work Environ. Health, 23(4), 311-316.
  28. 井内康輝、岸本卓巳、高橋謙、名取雄司、東敏昭、森本泰夫;石綿、石綿肺、及びがん、診断及び原因判定に関するヘルシンキ・クライテリア2014年版:勧告、産業医学ジャーナル、VOL39(5)、p57-70、2016
  29. オランダ健康審議会「アスベスト:環境・職業曝露のリスク」(The Hague: Health Council of the Netherlands, 2010; publication no. 2010/10、p1-110
  30. Hodgson JT, Darnton:Ann Occup Hyg 44: 565-601、2000
  31. Hodgson JT, Darnton: Occup Env Med 67:432、2010
  32. J.C.Mcdonald Unfinished Business:Textile Mystery、 Ann. occup. Hvg.. Vol. 42. No. 1. pp. 3-5. 1998
  33. Berman DW, Crump KS. A meta-analysis of asbestos-related cancer risk that addresses fiber size and mineral type. Crit Rev Toxicol 2008;38(suppl 1):49–73.
  34. Berman DW, Crump KS. Update of potency factors for asbestos-related lung cancer and mesothelioma. Crit Rev Toxicol 2008;38(suppl 1):1–47.
  35. 名取雄司:石綿に関するリスクQ&A、厚生労働科学研究費補助金安全衛生総合研究事業、石綿ばく露に関する健康障害リスクに関する疫学調査の開発研究別冊:p1-188、2009.3
  36. Murayama T, Takahashi K, Natori Y, et.al.: Estimation of Future Mortality From Pleural Malignant Mesothelioma in Japan Based on an Age-Cohort Model. Am J Ind Med, 49; p1-P7,2006、
  37. 石綿に関する健康管理等専門家会議報告書:厚生労働省 石綿に関する健康管理等専門家会議,p1-27、2006年2月24日 石綿ばく露歴把握のための手引:厚生労働省石綿に関する健康管理等専門家会議マニュアル作成部会、p1-153、平成18年10月、
  38. WHO Regional Office For Europe, Copenhagen, Denmark, 2000 Air quality guideline for Europe:Second Edition. (最終閲覧日2010.12.31)
  39. U. S. EPA Integrated Risk Information System: IRIS(1993年7月1日改訂, 2002年2月22日)アスベストの肺がんと中皮腫を併せたユニットリスク.
  40. J. M. Hughes and H. Weill (1986). Asbestos exposure-quantitative assessment of risk. Am. Rev. Respir. Dis. 133(1), 5-13.
  41. 亀元宏宣、平成24年、中央環境審議会、大気環境部会ヒアリング、
  42. 外山尚紀、名取雄司、煙突断熱材の石綿飛散に関する検討、産衛誌、53(臨増)、p354、2011、
  43. 中皮腫・じん肺・アスベストセンター、東京労働安全衛生センター編著、建物の煙突用石綿断熱材―劣化・飛散の実態と今後の管理について-、p1-163、アットワークス、大阪、2013
  44. 杉本通百則「イギリスにおけるアスベスト管理規制の特質ー「アスベスト管理規則」の実効性確保の条件」、p171-200『政策科学別冊』(立命館大学政策科学部)、2017年
  45. 石綿問題総合対策研究会HP (最終閲覧日:2018年2月21日)