後腹膜線維症について

Latest Information on Asbestos and Related Diseases

中皮腫・じん肺・アスベストセンター 名取雄司

後腹膜線維症とは

 後腹膜線維症は石綿関連の疾病です。国際的な石綿関連疾患の診断基準を定めているヘルシンキ基準2014が、2014年に石綿関連疾患と定めました。肺がんや石綿肺、胸膜プラークの様に罹患される方が多い疾患ではなく、良性石綿胸水、びまん性胸膜肥厚の様にかなり頻度の稀な疾患のため、2022年現在で、あまり知られていないためご紹介します。

 今回、この疾患の総論を記載している3論文を最初に紹介し、後腹膜線維症という疾患の概要をつかんで頂きたいと思います。ドイツBrandt AS等の204例の2011年論文1)、Goldon M 等の90名の2014年の論文2)、Marta等の当時の62論文の最新をまとめた2016年論文3)です。

 詳しく知りたい方向けに、分野別にCT画像、病理像、アスベストとの関連の症例-対照研究論文、免疫グロブリンG4疾患と後腹膜線維症の関連、治療方法等について、他論文を紹介しながら概説を記載して参ります。名取は1995年から2021年まで石綿関連疾患のセカンドオピニオンで数百名の相談を受けてきましたが、2021年末まで「後腹膜線維症」の方のご相談は一人もいなかったと思います。

1.総論

 後腹膜線維症を初めて報告した論文は、1947年のOrmand JIKによる論文4)とされています。「炎症性後腹膜変化による両側尿管の圧迫と閉塞」という表題で、45歳の男性と43歳の男性の2例が報告されています。45歳の男性で4年後に死亡、解剖報告書には「大動脈と両側の腎臓を囲む後腹膜組織は、灰色の結合組織線維に置換され厚さは2cmの膠原繊維で、尿管、下大静脈、神経に浸潤はしていないが取り囲んでいる」と記載され、裏付ける顕微鏡4枚の写真が論文に掲載されています。2例目の方も類似で今回は省略致します。

 2011年ドイツBrandt AS1)は、2010年ドイツの泌尿器科医に後腹膜線維症の患者さんの登録を呼びかけて登録された204名に質問票を送る方法で研究を行いました。男女比は男性2.1と女性1、発症時平均年齢は55.6歳、全体の60.3%の123名が病理診断を行って診断されていました。自己免疫疾患の合併は9.8%で、主に甲状腺疾患でした。受けた治療法は1つが123名、治療法2つが41名、平均治療期間は12.1月でした。103名が手術を受け水腎症が195名(95.6%)、水腎症後の萎縮腎臓が22.5%、血管閉塞27.5%、腸閉塞が4名(2%)に認められました。Brandt論文は、石綿の関係について質問を行っていません。

 症状としては「痛み114名(66.3%)、背部痛114名(66.3%)、上腹部痛43名(25%)、下腹部痛47名(27.3%)、脚部痛35名(20.4%)」で、「倦怠感91名(52.9%)、不快感/嘔吐52名、発熱34名、盗汗48名(27.9%)、体重減少53名(36.6%)」でした。

 Goldon M 等の2014年の論文2)は、90名の後腹膜線維症患者に職歴・喫煙歴ほかを質問、臨床像が詳しく説明されています。発症時平均年齢58歳、男性3分の2、(腹部)動脈瘤20名としています。発病部位は、(腹部)大動脈周囲で腸腰筋以内41名、(腹部)大動脈周囲で腸腰筋以内かつ(下大)静脈周囲42名、胸腔の静脈と縦郭内発症が17名でした。症状は腹痛と腰痛が72名、便秘22名、精巣症状39名でした。合併症は静脈血栓12名、尿管閉塞68名(片側26名、両側42名)、急性腎不全42名でした。後腹膜生検の実施は50名(55%)、平均観察期間37月、診断時の平均CRP値は352.4NMOL/Lでした。

 Marta等の2016年論文3)は、後腹膜線維症として発表された最新62論文をまとめた論文です。疫学ではフィンランド論文が毎年の罹患率は10万人に0.1人とする一方、10万人で1.3人の論文も紹介されています。診断時平均年齢は50~60歳1)ですが、小児発症例も紹介しています。男性が女性の2~3倍多いとしています1)3)9)

 病因として、現時点で明瞭でないとした上で、最も一般的理論として、大動脈の動脈硬化病変への局所的な炎症反応を示唆するとしています3)。民族および家族歴で集積の証拠はないとしています5)。石綿・アスベストばく露と喫煙歴が後腹膜線維症のリスクを上げることは証明されました。両因子が共に相乗的であるとしています1)2)9)。後腹膜線維症の第二の形態として、多要因の薬物性、医原性(放射線療法、外科治療)、外傷、感染、悪性疾患等も原因とされています3)

 症状は知らぬ間に進展し初期症状は非特異的であるとした上で、最も多いのは股間や大腿に関連する背部痛と腹部痛、便秘も起きやすく、疲労、発熱、体重減少、食欲不振、関節痛が起きる場合もあるとしています3)

 診断は、所見が非特異的で半数でCRPの上昇を認め、CRPは治療の反応と関連するとされています。抗核抗体は30~40%に陽性です2)。時々スクリーニング検査で実施される腹部超音波検査は、後腹膜線維症は良く被包化された不整形低エコー領域として検出されます3)。現在はCTとMRIが後腹膜線維症の診断の基本となり、画像の特徴は腰椎4~5番目の傍脊椎部に広がる限定された範囲の不整形の塊で、上部腎門部、時々下部骨盤内器官に広がるとされます3)。非特異的臨床像および検査値および放射線像等の場合は、生検が必須とされています3)

 治療の項目で、副腎皮質ホルモン投与が第1の治療で3)、初回投与量は30~60mg/日を4~8週行います。数か月かけて漸減し5~10mg/日とします。4~12月で、多くの患者さんが部分的以上に線維化が改善しています3)。この治療で、患者さんの92~100%が寛解になります3)。緩解後methotrexateとステロイド併用療法を幾つかの論文が報告しています3)

2.画像所見

 Vagilo等はランセット論文5)の下の図1で、3つの進展様式を図示しています。左が後腹膜線維症、中が腹部大動脈瘤に伴う炎症性、右が大動脈周囲の線維症です。

図1 左:特発性後腹膜線維症 中:炎症性腹部大動脈瘤 右:大動脈瘤周囲腹膜線維症

図1

図1 内部の説明:水色部はURETER:尿管、Periaortic fibrosisは動脈周囲線維症で、Dilated aortaは拡張した(腹部)大動脈です。(Vagilo5)から引用)

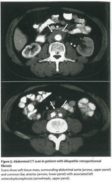
 Vagilo等はランセット論文5)の下記図5で、血管に造影剤を点滴した腹部CT画像典型例を上と下の図で説明しています。上下の図の下部の(白い)脊椎の前に造影された(丸い)血管が白く映っていて、二本の白矢印で指摘された肥厚が、後腹膜線維症の病変に相当します。上図は腹部大動脈、下図は左右の大腿動脈に分離した部分の、腹部CT像となります

図5 上・下 (Vagilo5)から引用)

図5 

 1991年の時点で後腹膜線維症の画像のまとめを行ったのは、Amis6)で論文6の図1Aに腹部単純写真の病変を模式的に示し、図1BでCT写真の病変を模式的に示しています。

図1A (Amis6)から引用)

図1A 

図1B (Amis6)から引用)
図内の説明 IVC:下大静脈、Aorta:大動脈、Ureters:尿管、Colon:大腸、Psoas mm:腸腰筋、iliac crest:腸骨綾

図1B 

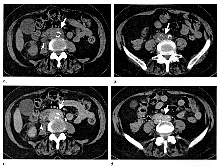
 2015年段階で後腹膜線維症のCT所見の典型的所見を記載したのはCalafa RQ等7) 論文で、図2 a b c d の説明が丁寧です。

図2 a b c d (Calafa RQ等7) から引用)

図2 abcd 

3.病理所見

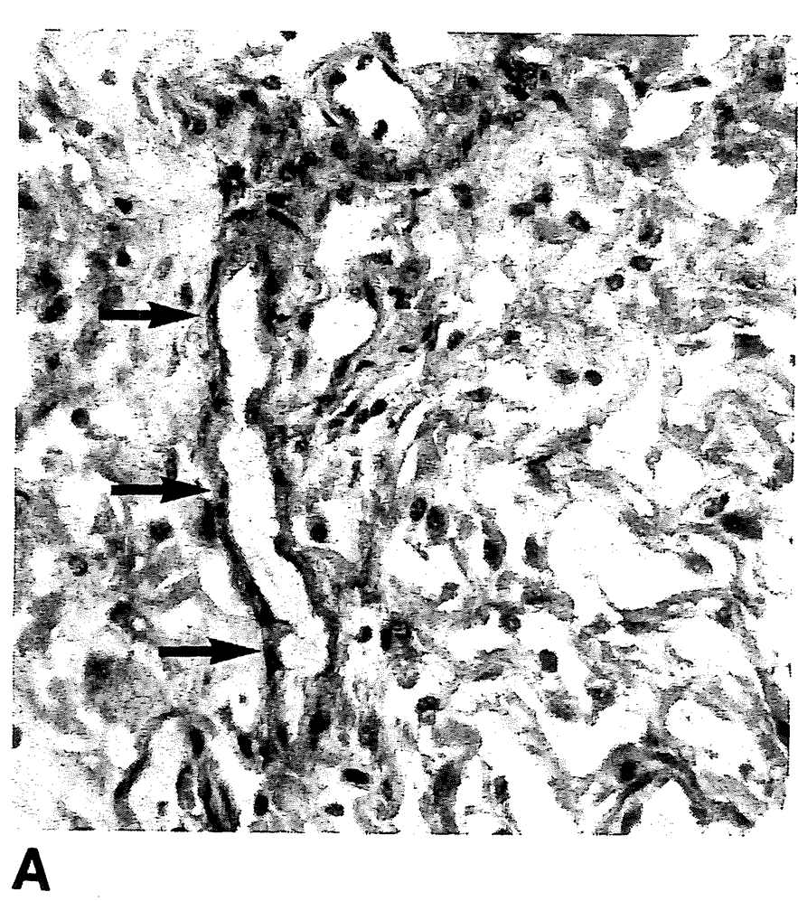
 1991年Amis6)は、Amis論文の図2Aで後腹膜線維症の初期の炎症性段階の像を示し、図2Bで細胞性分の少ない後腹膜線維症の成熟期の病理像を説明しています。

図2A (Amis6)から引用 )

特異的プラーク形成の初期段階。細胞成分と血管造成(矢印)が認められ、浮腫的側面です。

図2A 

図2B (Amis6)から引用 )

成熟したプラーク。膠原繊維が厚く細胞成分は乏しいです。

図2B 

4.後腹膜線維症の疫学 原因の症例・対照研究

 後腹膜線維症の原因をオッズ比で示した症例・対照研究は、二論文が報告されています。

 第1は、2004年に著名な医学誌のランセットに掲載されたUibu T8)の論文です。1990年から2001年にフィンランドの三大学医学部の病院で治療された「後腹膜線維症43名」を症例とし、年齢、性、地域等で対照179名を選択、石綿ばく露および既往歴は質問票調査で行いました8)。年齢調整後の後腹膜線維症の罹患率は、10万人・年あたり0-10でした。後腹膜線維症は石綿ばく露と強く相関し、石綿ばく露10線維・年未満のオッズ比は5.54、石綿ばく露10線維・年以上のオッズ比は8.84でした。他の危険因子は、アルカロイドの使用オッズ比9.92、腹部大動脈瘤オッズ比6.73、20箱・年の喫煙オッズ比4.73でした8)

 2014年のイタリアのGoldon M et al9)の論文では、90名の後腹膜線維症と、性・年齢・居住歴を調整した270名の対象者で検討されています。産業医学の専門家が職歴や環境ばく露歴の聴取を実施しています。石綿ばく露歴のオッズ比は4.22、現喫煙のオッズ比は3.21、過去喫煙のオッズ比は2.93でした9)。石綿ばく露の測歴と喫煙歴がある人の相乗的オッズ比は12.04で、職業以外の石綿ばく露のオッズ比は8.42でした9)

5.免疫グロブリンG4関連疾患 との関連

 2011年梅原等10) は免疫グロブリンG4関連疾患の診断基準を報告し、(1)血清免疫グロブリンG4は135mg/dl以上、(2)免疫グロブリンG陽性の形質細胞が40%以上、かつ生検標本の高分解視野で免疫グロブリンG4陽性細胞が10細胞以上、としています10)。 免疫グロブリンG4関連のミクリッツ病、腎疾患、自己免疫性膵炎の診断の感受性は、臓器特異性が100%と結論しています10)。現在までに報告されてきた論文によると多臓器関与の自己免疫性疾患で、すい臓、胆管系、唾液腺、中枢神経、甲状腺、肝臓、肺臓、消化管系、腎臓、後腹膜、等との関係も報告されてきたとしています10)

 2012年、免疫グロブリンG4関連疾患の病理の標準診断基準を報告したDeshpande等の論文11) が報告されました。2011年10月4~7日ボストンで免疫グロブリンG4疾患の国際シンポジウムが開催され、日本、韓国、香港、英国、ドイツ、イタリア、ポーランド、カナダ、米国の専門家が参加しました。シンポジウムは、免疫グロブリンG4関連疾患の診断として、特徴的な組織病理学の存在と、免疫グロブリンG4形質細胞の増加の存在の2点を上げました。特徴的な組織病理学として、リンパ球形質細胞の浸潤が強いこと、花筵(はなむしろ=storiform)上の線維化、閉塞性静脈炎としています。唾液腺、腎臓、すい臓炎に関する記載は多く認められていますが、後腹膜については報告論文として取り上げられている形式です。

 著名な医学誌であるN England J Medに2012年に掲載されたStone JH等論文12)は、免疫グロブリンG4関連疾患の過去の88論文を総論的にまとめました。

 過去に認識された疾患で、今後免疫グロブリンG4関連疾患疾患として再認識される可能性のある疾患を表1にまとめ、唾液腺に影響を与えるミクリッツ症候群、顎下腺に影響するクットナー腫瘍、リーデル甲状腺炎、上部呼吸器系に影響する好酸球性血管中心性線維症、甲状腺、後腹膜、縦郭他に影響する多源性線維硬化症、縦郭線維症、後腹膜線維症、動脈周囲炎、炎症性動脈瘤、特発性低補体性尿細管間質性腎炎としています。

 図1に、形質細胞と免疫グロブリンG4の関係、免疫グロブリン重鎖の形成、Fc抗体相互作用、非対称性抗体の形成を図示し、図2に6病理写真を掲載しています。図3Aにトリッガー期、図3Bに免疫反応期(ヘルパーT細胞、インターロイキン4・5・10・13とTGF-βの役割、好酸球、免疫グロブリンE、免疫グロブリンG4、線維化の図)、図3Cに臓器への細胞浸潤期、図3Dに臨床的結果を、わかりやすく図示しています。疫学、臓器の臨床的特徴、血清所見、治療を説明しています。

 2013年のFujimori13)論文は、後腹膜線維症は稀な疾患とした上で自己免疫膵炎の研究から免疫グロブリンG4との関連が判明し始めた経緯を記載しています。疫学で石綿の記載はされていません。過去の後腹膜線維症の13論文の1103名の患者さんを検討し109名、全体の9.9%が免疫グロブリンG4関連疾患と判明したと図3でまとめています。診断にはCTが有用としています。治療等は後掲します。

6.治療について

 治療について詳しく記載している中で、二論文を紹介します。

 2016年のMarta論文3)は副腎皮質ホルモン投与が第1の治療で、初回投与量は30~60mg/日を4~8週としています。その後数か月かけて漸減し5~10mg/日とします。4~12月で多くの患者さんが部分的以上に線維化が改善しています3)。この治療で患者さんの92~100%が寛解になります3)

 2013年のFujimori論文13)では、臨床症状のある後腹膜線維症の患者さんの第1選択治療法は、副腎皮質ホルモンの投与30~40mg/日で、無作為割付試験で著しく有効であったとしています13)。また免疫グロブリンG4疾患でない方もある方でも、血清IgG4のレベルによらず、副腎皮質ホルモンの投与は有効であった論文を紹介しています。多くの論文で治療は効果的で、すい臓炎や後腹膜線維症の改善が認められたとしています。後腹膜線維症の疫学、治療後の再発、長期予後に関して不明な点は多いため、今後の研究が必要と結んでいます。

7.参考文献

(1) J.Urology 185、526―531、2011、Brandt AS et al, Associated findings and complications f retroperitoneal fibrosis in 204 patients, Results of a urological registry

(2) Ann. intern. Med, 161,181-188, 2014, Goldon M et al, Asbestos and smoking as risk factors for idiopathic retroperitoneal fibrosis, A case Control study

(3) Reumatologia 54(5)、256-263、2016, Marta et al, Retroperitoneal fibrosis-the state-of the-art,

(4) J.Urol 59,1072-1079 ,1948, Ormand JIK et al, Bilateral ureteral obstruction due to envelopment and compression by an inflammatory retroperitoneal process

(5) Lancet 367, 241-251,2006, Vagilo et al , Retroperitoneal fibrosis

(6) AJR Am J Roentgenol. 157, 321-329, 1991Amis et al, retroperitoneal fibrosis

(7) Radiographics, 33,871-876、2015、Calafa RQ et al, retroperitoneal fibrosis: role of imaging in diagnosis and follow-up

(8) Lancet 363, 1422-1426,2004, Uibu T et al, Asbestos exposure at a risk factor for retroperitoneal fibrosis

(9) Ann. intern.Med, 161,181-188, 2014, Goldon M et al, Asbestos and smoking as risk factors for idiopathic retroperitoneal fibrosis, A case Control study

(10) Mod Rheumatol 22,21-30,2011 Umehara H et al, Comprehensive diagnostic criteria for IJG4-related disease.

(11) Mod Pathol, 25,1181-1192,2012、Deshpande V et al, Consensus statement on the pathology of IJG4-related disease.

(12) N England J Med,366,539-551,2012, Stone JH et al, IJG4-related disease

(13) World J Gastroentrol,19, 35-41, 2013, Fujimori et al, retroperitoneal fibrosis associated with immunoglobulin G4-related disease.

(この内容は、2022年1月段階のものです)